News
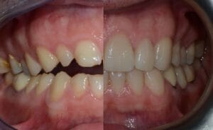
Usura dentale: cause, sintomi e soluzioni efficaci
Scopri le cause dell'usura dentale, i sintomi da riconoscere e le soluzioni offerte da Odontoiatria Contenti a San Pellegrino Terme.
Vantaggi implantologia dentale: perché scegliere gli impianti
Scopri i vantaggi dell'implantologia dentale e come può migliorare il tuo sorriso. Approfondisci i benefici con Odontoiatria Contenti.
Vantaggi ortodonzia trasparente: miglioramenti estetici e funzionali
Scopri i vantaggi dell'ortodonzia trasparente per correggere il tuo sorriso. Approfondisci i benefici e le soluzioni offerte da Odontoiatria Contenti.
Implantologia dentale: soluzioni moderne e efficaci
Scopri come l'implantologia dentale può ripristinare il tuo sorriso. Approfondisci i trattamenti e le soluzioni offerte da Odontoiatria Contenti.
Gengive che Sanguinano: Cause e Rimedi
Le gengive che sanguinano rappresentano un problema comune ma spesso sottovalutato da molti pazienti. È fondamentale riconoscere le cause e i rimedi …
Ortodonzia per bambini: tutto quello che c’è da sapere
L’ortodonzia è una branca della odontoiatria che si occupa della diagnosi, prevenzione e trattamento delle anomalie dentali e facciali. Negli ultimi anni, …
Quando Portare i Bambini dal Dentista? La Prima Visita
La salute dentale dei bambini è fondamentale per il loro benessere generale e per lo sviluppo di un sorriso sano. Molti genitori …
L’apparecchio trasparente funziona davvero? Un’analisi approfondita
L’apparecchio trasparente sta guadagnando sempre più popolarità tra chi cerca una soluzione ortodontica discreta. Ma funziona davvero? In questo articolo, analizzeremo a …
Male alla mandibola: curarlo con la gnatologia
Hai mai sperimentato un dolore persistente alla mandibola che sembra non voler andare via? Magari accompagna il tuo risveglio o si manifesta …
Che cosa sono le faccette dentali e perché fanno al caso tuo?
Le faccette dentali sono sottili gusci di ceramica o materiale composito che vengono applicati sulla superficie esterna dei denti. Questi rivestimenti sono …
L’implantologia flapless rappresenta una rivoluzionaria opzione per il ripristino del sorriso che offre numerosi vantaggi rispetto alle tecniche tradizionali. Questo approccio meno …
Un sorriso luminoso e bianco è un segno di salute e fiducia in sé stessi. Investire nella propria salute dentale non solo …
ULTIMI POST

Usura dentale: cause, sintomi e soluzioni efficaci
Scopri le cause dell’usura dentale, i sintomi da riconoscere e le soluzioni offerte da Odontoiatria Contenti a San Pellegrino Terme.

Vantaggi implantologia dentale: perché scegliere gli impianti
Scopri i vantaggi dell’implantologia dentale e come può migliorare il tuo sorriso. Approfondisci i benefici con Odontoiatria Contenti.

Vantaggi ortodonzia trasparente: miglioramenti estetici e funzionali
Scopri i vantaggi dell’ortodonzia trasparente per correggere il tuo sorriso. Approfondisci i benefici e le soluzioni offerte da Odontoiatria Contenti.

Implantologia dentale: soluzioni moderne e efficaci
Scopri come l’implantologia dentale può ripristinare il tuo sorriso. Approfondisci i trattamenti e le soluzioni offerte da Odontoiatria Contenti.

Gengive che Sanguinano: Cause e Rimedi
Le gengive che sanguinano rappresentano un problema comune ma spesso sottovalutato da molti pazienti. È fondamentale riconoscere le cause e i rimedi per affrontare questa

Ortodonzia per bambini: tutto quello che c’è da sapere
L’ortodonzia è una branca della odontoiatria che si occupa della diagnosi, prevenzione e trattamento delle anomalie dentali e facciali. Negli ultimi anni, l’ortodonzia pediatrica ha











